Come Dance With Me

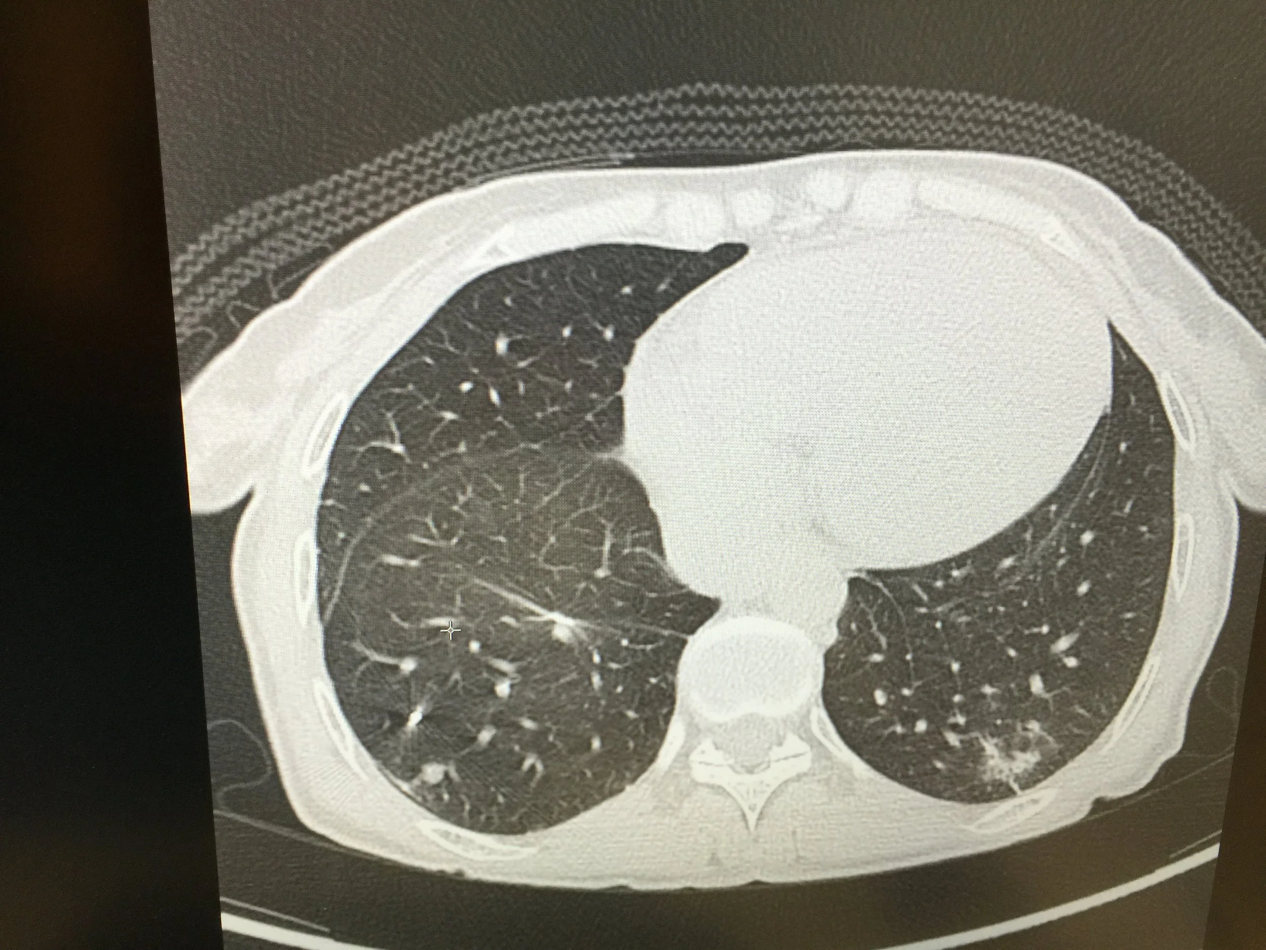
Careful searching for 3 remaining spots that are, 'not like the others.'

Careful searching for 3 remaining spots that are, 'not like the others.'

Through the eye of intention and focus each small spot brings a story, patiently waiting to be uncovered.  Gently placed in the lobes of the lungs, they surface and show their presence.  While it feels like they are relentless in their determination to keep coming forward, I am relieved that they are willing to show up and be seen.  They offer an invitation to dig deeper, to explore and uncover the mysterious worlds that lie within them. 

At first, there is some hesitation in my mind, like being part of a slow dance that I am being dragged into, I don’t know the steps and I’m off balance.  I dance, but I’m ready for the song to be over. They are not.  The music keeps on playing holding me close in this unfamiliar territory.

I notice by staying close, I can listen for the rhythm.  I find the next steps.  I have met this music before adjusting my dance, trying a new flow of movement.  Sometimes, the steps are familiar, yet always new patterns are emerging. 

Illness begins to take a form when there are persistent energetic blocks starting in the outer energy bodies and then eventually making way into the physical body.  Releasing emotional blocks that have been unconsciously long held in the body, is a powerful step to take towards total healing.  Always, the option to evolve in our growth is a choice and there is never one way to do this. 

Perhaps a new meditation on releasing limiting beliefs about self healing or exploring how it’s possible to have the body heal within a sense of ‘altered time’ where it is not bound by our linear world, making total healing possible right here and now. 

Gathering healing power through meditation with others.

Gathering healing power through meditation with others.

I have combined the healing of Theta meditation and distance healing with the intense focus of radiation on both my primary tumor in the rectum and post lesions in my lungs after surgery.   Week after week of fine tuning this focus until it was so laser sharp that no room was left for doubt about whether it was going to work or not.  It was working and with each treatment and day that passed, my body slowly began to grow itself anew. 

After radiation and chemo on my primary tumor, I had my first control exam eight weeks later to find that this previously, extremely unbalanced part of my body, was now restored to a fine, healthy balance and has remained so ever since.  The area where this cancer first made its mark is now a happy place functioning with the important task of maintaining regular bowel movements. 

The option for this alternative route of treating the tumor with radiation & chemo pills came after months of working on shrinking the original metastasized cells that had traveled and settled in both my lungs.  With the passing of time, I know this gave my body space to begin finding ways to heal through the chemo infusions and rebuilding my cellular environment with alkaline infusions and a mix of other natural remedies.   For this ‘extra’ time, I am grateful that my lungs have been part of the total package that came to me. 

As difficult as the two lung surgeries were to endure, they certainly initiated me into a whole new reality of knowing what it is to experience suffering, of being cared for, of loving my physical body, learning to let go and appreciate being alive. 

10 months later, I am still being called to dance with my lung spots.  This time, it is not with radiation, but with the radiating brilliance of my heart.  It is time to shine the light on the dance floor again where steps have not yet met the open space. 

The journey through cancer cannot be taken alone.  There are so many unknown twists and surprises along the way, that a call for different specialists and support people are needed as new situations present themselves.  

I had been looking for a therapist for a while and was waiting for the right one to show up.  I knew I wanted my body to lead this dance and have someone support me.  Eventually, months later, at just the right time, I found her.  She came with experiences that fit my needs perfectly and I knew that once again, my angels had delivered me to another special person to help me along my journey. 

Finding ways to celebrate my body every step of the way.

Finding ways to celebrate my body every step of the way.

After my PET/CT scan in mid March 2018, I was told that after the four rounds of Cyberknife laser treatments, there were still three or four remaining ‘spots’ showing, all in my lower left lung lobe.  They were there in December 2017, but were very small then.  Three months later, it shows they have grown slightly.  What does this mean?  It’s impossible to say for sure without taking a biopsy and that means some form of cutting, so they will remain a mystery.  However, spots are spots, and given my current history, the most likely explanation is that there is some form of metabolic activity going on that is encouraging growth and expansion and this is not something I’m keen on. 

Immediately following the March scan, I took a break from doctor’s visits and any further allopathic treatments.  These spots are still so small, it was decided that I would continue on with my ketogenic eating, exercise, intake of numerous anti-cancer supplements, newly added amino acids, meditation, yoga, healing sessions and recheck in three months.  This gives my body time to continue building immune strength and for me to experience some ‘BodyTherapy.’

It came to me one day that maybe I could learn more about these four spots from the Medicine Wheel and the 4 Directions.  I took this little hunch into my counseling session and after talking about the Directions and my attitude towards death, I surprisingly found myself sharing the story about how my Dad  died and what was going on in my life at that time.  Out of nowhere, the body introduces a new dance.

We make connections to the lungs and grieving that I had made before and now find myself coming back to again.  My Dad died in water, suffocating from his lack of breath.  The themes that endure through my healing are: Birthing and Breathing; the creativity of new life, the second chances that come with being re-born, and the fullness of life when one is breathing with their whole body and soul.   

Balancing cardio exercise with relaxation in the beautiful Nature of Switzerland.

Balancing cardio exercise with relaxation in the beautiful Nature of Switzerland.

I have been convinced over and over through my experiences with this illness, that the body holds all, forever and ever.  There is no trauma, small or big, that goes unchecked by the body. How illnesses manifests is a completely personal matter, this I know.  And this is why ‘treating’ an illness is so uniquely tailored to the individual.   Each person has their own set of life experiences and also inherited traits that are passed down into their soul being.  In order to fully and completely heal you need to get out on the dance floor and learn new steps, take risks, and set yourself free from the dances that no longer fit for you. 

I thought I had grieved my Dad’s passing 24 years ago, yet I still found places inside me where I was in an energetic hold with him and now it was time to truly set him free.  To let his Spirit go so that we could share a higher love and connection, where the love could unconditionally flow and be free to show me a new dance.

There are as many ways to heal as there are ways to dance.  Is your body calling for a dance?  Don’t let fear of the unknown hold you back.  Accept the invitation of the open space and see what happens!